Mik a fogínytasakok és az ínybetegség figyelmeztető jelei?

A fogínytasak az egyik legsúlyosabb ínybetegség (parodontitis) tünete, amely akkor alakul ki, amikor az íny és a fogfelszín között rés keletkezik, úgynevezett parodontális tasakok képződnek. Ezekben a tasakokban baktériumok, étel– és plakkmaradványok gyűlnek össze, amelyek tovább mélyítik a gyulladást és roncsolják a fogak tartószerkezetét.

A probléma gyakran észrevétlenül kezdődik, hiszen a korai stádiumban fájdalommentes lehet, ám kezelés nélkül a fogak meglazulásához és végül elvesztéséhez vezethet. Budapesti fogászati rendelőnkben modern diagnosztikai módszerekkel mérjük a tasakmélységet és állapítjuk meg a parodontitis stádiumát.

A tasakok kialakulása nem egyik napról a másikra történik – ez egy fokozatos folyamat, amely az ínygyulladásból (gingivitis) fejlődik ki. Amikor a fogíny mentén felhalmozódó plakk és fogkő hosszú ideig irritálja az ínyt, az íny gyulladása krónikussa válik. Az íny fokozatosan visszahúzódik a fog felszínéről, tasakok képződnek, amelyek mélysége akár 6-8 mm vagy még több is lehet.

Ezekben a mély tasakokban a normál fogmosás már nem tudja eltávolítani a baktériumokat, így folyamatos gyulladásos folyamat zajlik, amely nemcsak az íny lágyszövetét, hanem a fogat tartó csontszövetet is lerombolja. Szakemberek szerint a 35 év feletti felnőttek több mint 50%-a szenved valamilyen fokú parodontitisben, ezért rendkívül fontos a korai felismerés és kezelés.

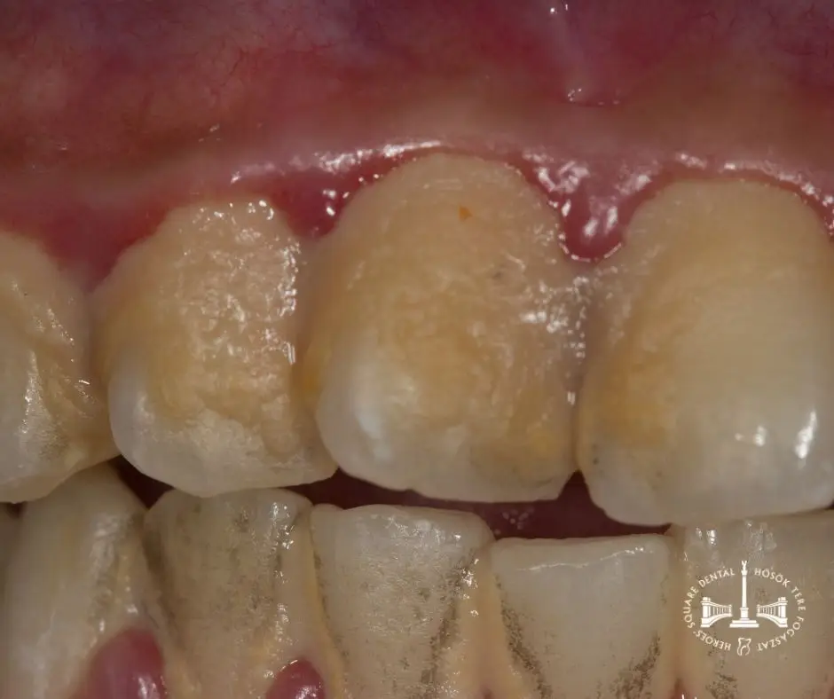
plakk, fogkő, gyulladt íny

A gyulladásos tasakok jellegzetes tünetei

Korai figyelmeztető jelek:

  • Az íny duzzadása és vörös, fénylő megjelenése
  • Rendszeres ínyvérzés fogmosás vagy étkezés közben
  • Kellemetlen szájszag, amely fogmosás után is megmarad
  • Fémszerű vagy kellemetlen íz a szájban
  • Az íny puha tapintású, szivacsos állagú lesz

Előrehaladott stádium tünetei:

  • Az íny látható visszahúzódása, a fogak hosszabbnak tűnnek
  • Mély tasakok képződése az íny és a fog között
  • Genny szivárgás az íny mentén nyomásra
  • A fogak meglazulása vagy elmozdulása
  • Fájdalom rágás közben
  • Változás a fogak illeszkedésében vagy a fogsor zárásában
  • Érzékenység hideg és meleg ételekre

Az ínybetegségek stádiumai

1. Gingivitis (kezdeti ínygyulladás): Ez a visszafordítható stádium, amikor csak az íny lágy szövete gyulladt, de a csont még nem károsodott. Az íny vörös, duzzadt, könnyen vérezhet, de még nincs tasakképződés. Megfelelő szájhigiénia és professzionális fogkő-eltávolítás általában teljesen megszünteti a problémát.

2. Enyhe parodontitis: Ebben a szakaszban már tasakok kezdenek kialakulni (3-4 mm mélység), és a fogat tartó csont enyhén károsodik. Az íny visszahúzódhat, fokozott ínyvérzés és rossz lehelet jelentkezik. Professzionális, esetleg mélyebb tisztítás szükséges.

3. Mérsékelt parodontitis: A tasakok mélyebbek (5-6 mm), a csontvesztés jelentősebb. A fogak érezhetően lazábbak lehetnek, gyakori a gennyes váladék. Mélyebb tisztítás, gyökérgyalulás és esetleg antibiotikum kezelés szükséges.

4. Előrehaladott parodontitis: A tasakok 7 mm-nél mélyebbek, súlyos csontvesztés, a fogak meglazulnak vagy el is mozdulnak. Gyakran sebészeti beavatkozás szükséges a megmentés érdekében, súlyos esetekben fogeltávolítás elkerülhetetlen.

Kockázati tényezők, amelyek növelik a tasakos íny kialakulásának esélyét

Módosítható tényezők:

  • Dohányzás (a legnagyobb kockázati tényező)
  • Nem megfelelő szájhigiénia
  • Stressz és pszichés megterhelés
  • Egészségtelen táplálkozás, vitamin-hiány
  • Fogcsikorgatás (bruxizmus)
  • Túlsúly

Nem módosítható tényezők:

  • Genetikai hajlam (családi előfordulás)
  • Életkor (a kockázat korral növekszik)
  • Bizonyos szisztémás betegségek (cukorbetegség, immunhiányos állapotok)
  • Hormonális változások
  • Bizonyos gyógyszerek szedése

Diagnosztika és kezelés Budapesten

A parodontitis diagnosztizálása alapos fogászati vizsgálatot igényel. Szakorvosaink speciális parodontális szondával megmérik a tasakok mélységét minden fog körül, röntgenfelvételekkel ellenőrzik a csontvesztés mértékét, és felmérik az íny általános állapotát. A vizsgálat fájdalommentes, és átfogó képet ad a kezelés szükséges mértékéről.

A kezelés a betegség stádiumától függ. Korai esetekben professzionális fogkő-eltávolítás és szájhigiéniai oktatás elegendő lehet. Mélyebb tasakok esetén küret szükséges, amely során speciális eszközökkel eltávolítjuk a foggyökér felszínén lévő plakkot és fogkövet a tasakok mélyéből. Előrehaladott esetekben sebészeti beavatkozás, csontpótlás vagy regeneratív kezelések válhatnak szükségessé. Budapesti rendelőnkben minden modern kezelési módszer elérhető a tasakos íny hatékony gyógyításához.

A megelőzés aranyszabályai

Az ínybetegségek és tasakos íny kialakulása nagyban megelőzhető. Napi kétszeri alapos fogmosás, rendszeres fogselyem használat és évente legalább kétszer professzionális fogkő-eltávolítás jelentősen csökkenti a kockázatot. Ha már diagnosztizált parodontitise van, a rendszeres fogászati kontroll még fontosabb – gyakran 3-4 havonta szükséges professzionális tasaktisztítás a betegség progressziójának megállításához.

Ne feledje: a fogínytasakok és az előrehaladott ínybetegség nem csak a fogak elvesztéséhez vezethet, hanem összefüggésbe hozható szívbetegségekkel, cukorbetegség súlyosbodásával és más szisztémás problémákkal is. Ha az ínyproblémák bármelyik tünetét tapasztalja, ne halassza a szakorvosi vizsgálatot. Budapesti fogászati rendelőnkben tapasztalt parodontológusaink állnak rendelkezésére a legmodernebb kezelési módszerekkel.

Gyakran ismételt kérdések az ínybetegségekről

1. Fájdalmas a tasakmélység mérése a fogorvosnál?

A parodontális tasakmérés általában nem fájdalmas procedúra, bár enyhe kellemetlenség érzetet okozhat, különösen, ha az íny már erősen gyulladt. A fogorvos egy vékony, méretezett szondát helyez óvatosan az íny és a fog közé, és megméri a tasak mélységét több ponton minden fog körül. Egészséges íny esetén ez teljesen fájdalommentes, mivel a szonda csak 1-3 mm-t hatol be. Gyulladt, érzékeny íny esetén kérhet helyi érzéstelenítést, amely teljesen komfortossá teszi a vizsgálatot. A mérés rendkívül fontos a parodontitis súlyosságának felmérésében és a kezelés megtervezésében.

Sajnos az íny nem tud spontán módon „visszanőni” a természetes állapotába, különösen akkor, ha már csontpusztulás is történt. Azonban megfelelő parodontális kezeléssel – amelybe beletartozik a tasakok alapos tisztítása, küret és sebészeti beavatkozások – megállítható a további pusztulás, és bizonyos esetekben műtéti úton helyreállítható az íny magassága. Léteznek regeneratív eljárások és ínyplasztikák, amelyek javíthatnak az íny megjelenésén és funkcionális állapotán. A legfontosabb a betegség progressziójának megállítása, amely megőrzi a megmaradt fogakat és csontot.

Ha diagnosztizált parodontitise van, a rendszeres fogászati kontroll gyakoribb kell legyen, mint egészséges íny esetén. A betegség súlyosságától függően általában 3-4 havonta ajánlott professzionális tasaktisztítás és kontrollvizsgálat. Ez lényegesen gyakoribb, mint az átlagos évenkénti vagy félévenkénti vizsgálat. A rendszeres követés elengedhetetlen, mert a mély tasakokban a baktériumok gyorsan újratelepednek, még megfelelő otthoni szájhigiénia mellett is. Fogorvosa személyre szabottan fogja meghatározni az Ön számára optimális kontroll gyakoriságot a tasakmélység, a gyulladás mértéke és az általános kockázati tényezők alapján.

Az antibiotikum használata nem minden esetben szükséges a tasakos íny kezelésében. Az első lépés mindig a mechanikai tisztítás – a plakk és fogkő eltávolítása scaling és gyökérgyalulással. Azonban bizonyos esetekben, különösen agresszív vagy előrehaladott parodontitis esetén, az antibiotikum terápia fontos kiegészítője lehet a kezelésnek. Lokális antibiotikumokat közvetlenül a tasakokba lehet helyezni, vagy szisztémás antibiotikumokat tabletta formájában írhat fel az orvos. Az antibiotikum különösen akkor indokolt, ha gennyes fertőzés van jelen, vagy ha a hagyományos tisztítás nem hozott megfelelő eredményt. Az antibiotikum önmagában nem gyógyítja meg a tasakos ínyt, csak a mechanikai tisztítás kiegészítője.

Igen, a kutatások egyértelműen kimutatták, hogy szoros kapcsolat van a súlyos parodontitis és számos szisztémás betegség között. A tasakokban szaporodó baktériumok és gyulladásos mediátorok a véráramba jutva növelik a szív- és érrendszeri betegségek kockázatát, beleértve a szívinfarktust és a stroke-ot. Cukorbetegek esetében a parodontitis megnehezíti a vércukorszint kontrollját, és fordítva, a rosszul kontrollált cukorbetegség súlyosbítja az ínyproblémákat. Összefüggést találtak a parodontitis és a tüdőgyulladás, reumás ízületi gyulladás, valamint a terhességi szövődmények között is. Ezért a tasakos íny kezelése nemcsak fogászati, hanem általános egészségügyi szempontból is kiemelten fontos, és szoros együttműködést igényel fogorvosa és háziorvosa között.

Adatvédelmi áttekintés

Ez a weboldal sütiket használ, hogy a lehető legjobb felhasználói élményt nyújthassuk. A cookie-k információit tárolja a böngészőjében, és olyan funkciókat lát el, mint a felismerés, amikor visszatér a weboldalunkra, és segítjük a csapatunkat abban, hogy megértsék, hogy a weboldal mely részei érdekesek és hasznosak.